Trabeculectomy with an implantable biodegradable collagen matrix (Ologen) for the management of glaucoma associated with cavernous sinus arteriovenous fistula
DOI:
https://doi.org/10.16964/er.v4i1.70Keywords:
trabeculectomy, implantable biodegradable collagen, atelocollagen, cavernous sinus arteriovenous fistula, raised episcleral venous pressureAbstract
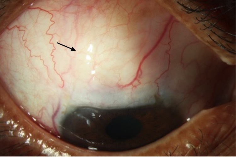
A 58-year-old gentleman presented with open angle glaucoma secondary in the right eye secondary to a cavernous sinus arteriovenous fistula. Since the intraocular pressure control was refractory to medical management, an augmented filtration surgery was planned. Trabeculectomy in eyes with raised episcleral venous pressure is associated with a substantially greater risk of intraoperative or post-operative choroidal effusion and suprachoroidal haemorrhage. This patient was successfully managed by performing trabeculectomy with an implantable biodegradable collagen, type 1 atelocollagen, matrix (Ologen), without any sight threatening complications.
References
Ishijima K, Kashiwagi K, Nakano K, Shibuya T, Tsumura T, Tsukahara S. Ocular manifestations and prognosis of secondary glaucoma in patients with carotid-cavernous fistula. Japanese journal of ophthalmology. 2003;47(6):603-8.
Bellows AR, Chylack LT, Jr., Epstein DL, Hutchinson BT. Choroidal effusion during glaucoma surgery in patients with prominent episcleral vessels. Archives of Ophthalmology. 1979;97(3):493-7.
Bindlish R, Condon GP, Schlosser JD, D'Antonio J, Lauer KB, Lehrer R. Efficacy and safety of mitomycin-C in primary trabeculectomy: five-year follow-up. Ophthalmology. 2002;109(7):1336-41; discussion 41-2.
Chen HS, Ritch R, Krupin T, Hsu WC. Control of filtering bleb structure through tissue bioengineering: An animal model. Investigative Ophthalmology and Visual Science. 2006;47(12):5310-4.
Ji Q, Qi B, Liu L, Guo X, Zhong J. Efficacy and Safety of Ologen Implant Versus Mitomycin C in Primary Trabeculectomy: A Meta-analysis of Randomized Clinical Trials. Journal of Glaucoma. 2015;24(5):e88-94.
Downloads
Published
Issue
Section
License
An Open Access Publication is one that meets the following two conditions:
1. The author(s) and copyright holder(s) grant(s) to all users a free, irrevocable, worldwide, perpetual right of access to, and a license to copy, use, distribute, transmit and display the work publicly and to make and distribute derivative works, in any digital medium for any responsible purpose, subject to proper attribution of authorship, as well as the right to make small numbers of printed copies for their personal use.
2. A complete version of the work and all supplemental materials, including a copy of the permission as stated above, in a suitable standard electronic format is deposited immediately upon initial publication in at least one online repository that is supported by an academic institution, scholarly society, government agency, or other well-established organization that seeks to enable open access, unrestricted distribution, interoperability, and long-term archiving.
Authors who publish with this journal agree to the following terms: 1. Authors retain copyright and grant the journal right of first publication with the work simultaneously licensed under a Creative Commons Attribution License that allows others to share the work with an acknowledgement of the work's authorship and initial publication in this journal. 2. Authors are able to enter into separate, additional contractual arrangements for the non-exclusive distribution of the journal's published version of the work (e.g., post it to an institutional repository or publish it in a book), with an acknowledgement of its initial publication in this journal. 3. Authors are permitted and encouraged to post their work online (e.g., in institutional repositories or on their website) prior to and during the submission process, as it can lead to productive exchanges, as well as earlier and greater citation of published work.